Dental implants
Your dental surgeon is a medical practitioner who is the best person to give you advice on prosthetic and implant rehabilitations. If he doesn’t install implants, you should seek advice from other medical practitioners.
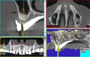
This page is intended to give you information about implant treatments.
The main purpose of showing these pictures is to provide you with a better comprehension of our medical techniques.
Each picture outlines aspects of a unique and different clinical situations and could not possibly be transposed.










